Cosmetic Dentistry

Dalian for your dental health.
  • Invisible alignment

  • Tooth Reshaping

  • Dental Bonding

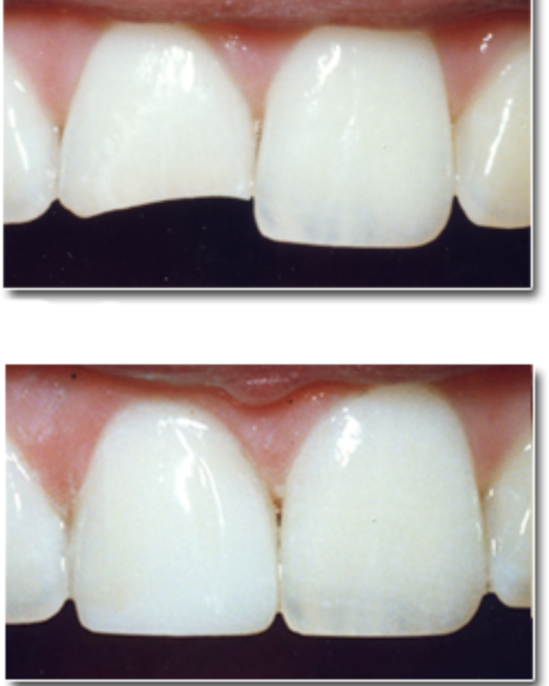
  • Veneers

  • Teeth Whitening

    Your Dentists

    Dr. Ferhana Adem

    Founder/Expert Dental Surgeon

    Dr. Merhawit Zerabiruk

    Expert Dental Surgeon

    Making you smile
    is our
    mission.

    Do you want to know more or need consultation?
    Dalian Dental Clinic
    Location
    Addis Ababa, Ethiopia
    Bole Medhanialem,
    Abyssinia Building,
    4th floor
    Contact

    This email address is being protected from spambots. You need JavaScript enabled to view it.
    + 251 91 263 8003
    + 251 94 119 1958

    Office Hours
    • Mon – Sat

      8:30AM – 6PM

    • Sun

      CLOSED

    Information
    Follow Us

    @2022 Dalian Dental Clinic. All rights reserved.